とうとうMRIを撮ることに……
昨年末に負傷した右足首が治りません。今だに腫れが残り、ボールを蹴ると痛みを感じます。ずっと消炎鎮痛剤を貼っているのですが、ずっと鈍い痛みは残っています。
ということで、とうとうMRIで患部を調べることになりました(おっと、「かんぶをしらべる」を変換するとデフォルトでは「幹部を調べる」になってしまうのは、FIFAのせい?) 。何か、すごいサッカー選手になった気分を味わっています。
MRIは初めての経験です。動くとキチンと撮れないということで右足を固定し、いざ機械が始動。MRIって、あんなにスチームパンクだとは思っていませんでした。
まず「プシュー、カー、プシュー、カー」という「ふいご」が動くような音がずっとBGMとして流れています。そして、ここにいろんなベルの音が加わってきます。「ガー、ガー、ガー」が何度が続いた後は「ガガガガガガガガ」、「ゴー、ゴー、ゴー」「グググググググググ」といろいろなバリエーションで脅かしてくれます。目を閉じていると、どこかの工場で寝ているような気分。
これが20分近く続きました。
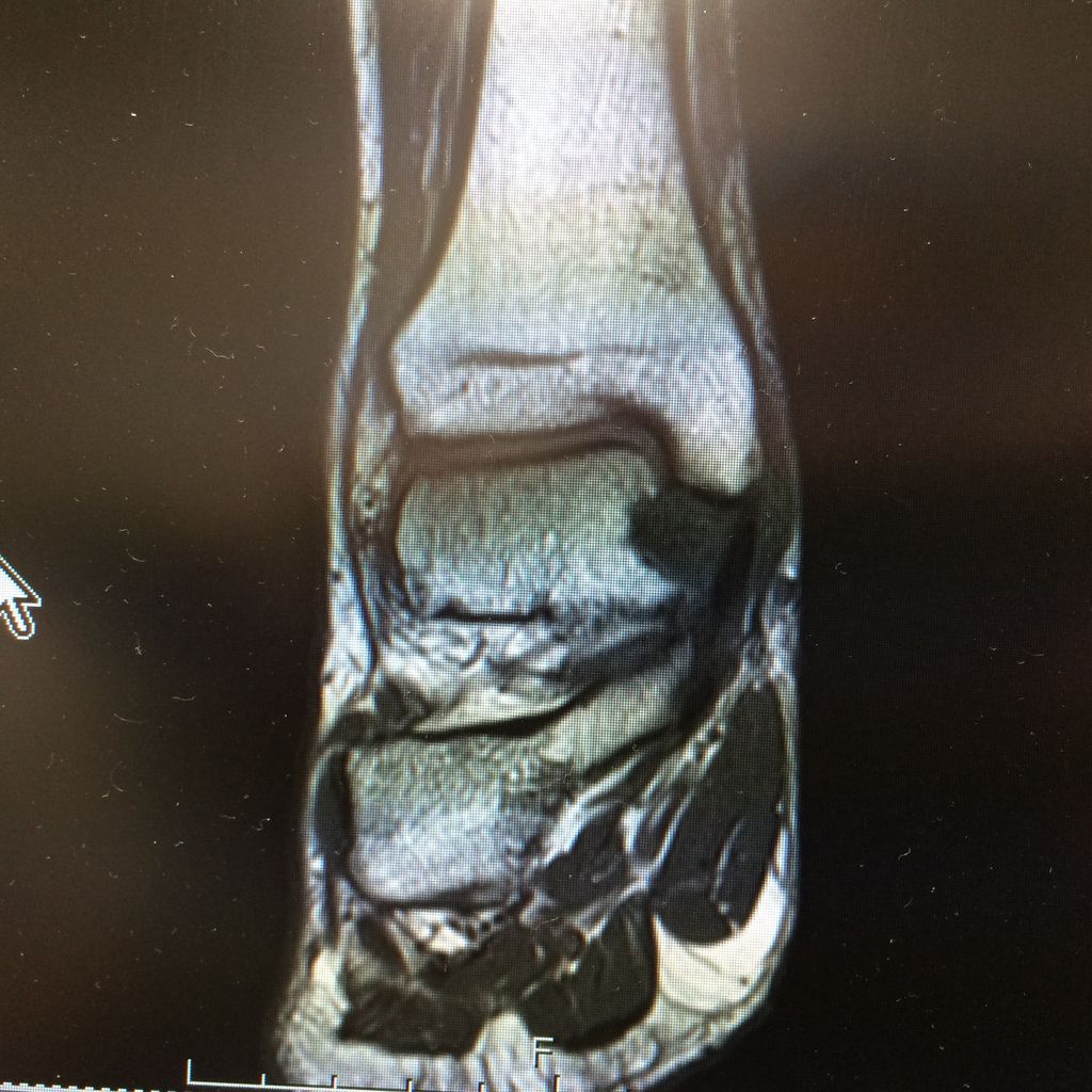
で、こういう画像が出来上がります。マウスの操作で360度、グリグリ動くのですが、詳しくは詳細を調べた来週——ということで、診察室を出たところで、先生がいきなりやってきてもう一度部屋に入るように促されました。

「この中心部分の少しくぼんでいることろが痛い部分と一致しますね」
「せ、先生、それは……」
「とりあえず一致するということで。ではまた来週!」
おお! 連続ドラマの終わりかたのようだ! ということで、この件についてはヤキモキしながら、次週に続く!!!
ちなみに、MRI前の診察に1050円、MRIに7300円、MRI後の診察に430円、処方してもらったシップに570円でした(3割負担)。

